
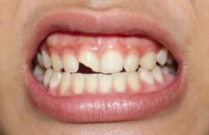
A dental emergency could include a cracked or chipped tooth, or even one being knocked loose or out completely. When this happens, you need to see our team right away! But in the meantime, as your Prairie Village, KS, dentist explains, you can take steps to ease your discomfort.








If you play sports and have a tooth that is knocked out, then you need to seek treatment to avoid this loss becoming permanent. With emergency dental care, our team can help improve your oral health and keep your smile intact! In today’s blog, your
Emergency dental care allows our team to treat injuries and other serious issues, so we can help smiles avoid major discomfort or complications, including infections or possibly tooth loss. Which is why when your tooth hurts, you should contact our team right away! In today’s blog, your 
A dental emergency could include cracked, chipped, or broken teeth. A knocked out or loosened tooth is a cause for concern, as is sudden pain in a tooth. When you have a dental emergency, we can offer repair and treatments to address the concern and protect smiles from complications. In today’s blog, your
When a tooth is damaged, even if this is just a minor chip, then you should see our team for dental emergency treatment. Otherwise, you risk the onset of cavities and even dental infection. In today’s blog, your 
If an injury or accident knocks a tooth loose, or knocks one out completely, then treatment is crucial for safeguarding your oral health and keeping your smile whole. Fortunately, we can help with dental emergency treatment! In today’s blog, your 
