When should you contact our team for dental emergency treatment? If a tooth is chipped or cracked, or begins to hurt, then you need to see our team! In today’s blog, Dr. Robert M. Browne talks about when you need to see us for dental emergency treatment, and how we can help restore your smile… Read more »
Category: Emergency Dentistry
Got Something Stuck Between Your Teeth?
When you have something caught between your teeth or under the gums, and you cannot free this object, then you should see. Emergency dentistry can allow our team to dislodge these trapped objects, and prevent complications for your smile. In today’s blog, Dr. Robert M. Browne talks about getting something caught between your teeth and… Read more »
How To Respond To A Knocked-Out Tooth
If a tooth is fully or partially avulsed, meaning knocked loose or out completely, then you need dental emergency treatment. We can respond to the issue and help keep your smile intact! In today’s blog, Dr. Robert M. Browne and our team talk about how you should respond to a knocked-out tooth, and when to… Read more »
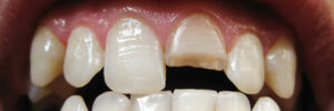
What Happens When You Crack Or Chip A Tooth?
If you end up with a cracked or chipped tooth, this could lead to discomfort and leave your teeth vulnerable to cavities or infection. You need treatment to repair it, and we can offer this with emergency dentistry. In today’s blog, Dr. Robert M. Browne talks about how we respond to your cracked or chipped… Read more »
What To Do Following A Dental Emergency
If you sustain a dental emergency, then you need treatment to address the injury and prevent complications down the road, such as infection or possibly even tooth loss. But what should you do immediately following common dental emergencies? In today’s blog, Dr. Robert M. Browne talks about what to do following a dental emergency.
Emergency Responses For Knocked-Out Teeth
When a tooth is fully or partially avulsed, also known as a knocked-out tooth, then you need to see our team. With dental emergency treatment, our team can protect smiles from major complications and keep it full! In today’s blog, Dr. Robert M. Browne talks about how we respond to your dental emergency!
Have Something Caught Between Your Teeth?
If you have something caught between your teeth, this can be a source of discomfort, and could increase the risk of enamel damage or even gum inflammation. But we can help! In today’s blog, Dr. Robert M. Browne, DDS talks about helping smiles in Prairie Village, KS, with emergency dental care.
Emergency Care For A Broken Tooth
When a tooth is chipped or more severely broken, then you need to see us right away. With dental emergency care, we can repair these injuries and protect the smile. In today’s blog, Dr. Robert M Browne talks about our emergency care for broken teeth in Prairie Village, KS. Don’t let a minor injury lead… Read more »
Tips For Avoiding A Dental Emergency
We want to help you avoid dental emergencies if possible, which is why we want to offer a few tips for protecting your smile. From wearing a mouthguard to caring for your teeth, you can limit the risk of a chipped or knocked-out tooth. In today’s blog, your Prairie Village, KS, dentist talks about avoiding… Read more »
What Happens If You Ignore A Damaged Tooth?
If a tooth is damaged, we want you to see us right away for dental emergency treatment. Otherwise, even minor injuries could lead to serious problems for your smile! In today’s blog, your Prairie Village, KS, dentist talks about what happens if you ignore an injured tooth, and how we can help with emergency dentistry.







